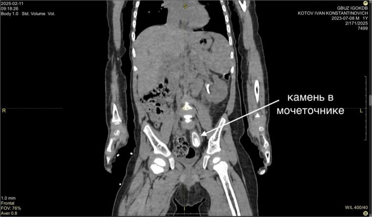
Камень в 3 см удалили из мочеточника маленького жителя Усть-Кута

Сложную операцию провел знаменитый на весь мир иркутский хирург, главный врач Иркутской областной детской клинической больницы Юрий Козлов.

post-22771 thumbnail
  • 12:05
  • 27.03.2025
  • ОбществоУсть-Кут
  • 0
  • 716

Первые признаки заболевания жительница Усть-Кута обнаружила у сына Вани еще в декабре прошлого года. На обследовании в Иркутске поставили диагноз — большой камень в нижней трети левого мочеточника размером около 3 на 1,5 см и вызванный им блок почки.

Размер камня удивил медиков — это нетипично для таких маленьких пациентов.

— Попытка внутрипросветного лечения была безуспешна — устье мочеточника не пропускало даже самую маленькую оптическую систему цистоскопа. После месяца непростого лечения с использованием нескольких антибиотиков была выполнена операция с применением нашего излюбленного подхода без разрезов — лапароскопии, — рассказывает Юрий Козлов.

Операция прошла успешно, и сегодня Ваня чувствует себя прекрасно.

Администрация УКМО

Данное сообщение (материал) создано и (или) распространено некоммерческими организациями и (или) средствами массовой информации, требующими полной отмены законодательства об иностранных агентах

Вы сможете добавить комментарий после авторизации

Присоединяйтесь! Мы в социальных сетях:

Вам также может быть интересно:

post-36301 thumbnail

#Топ новостькоррупцияПолитикаУсть-Кут

Бл@ди сэр. Депутаты Думы Усть-Кутского района подняли зарплату мэру и попросили губернатора наградить его грамотой

Заседание Думы Усть-Кутского района прошло 2 апреля в актовом зале администрации, в бравурной обстановке и приподнятом почти праздничном настроении Выбранные подвозами 90% депутатов Думы УКМО, вчера показали свое истинное лицо и то, как они относятся к избирателям, а так же кто для них главный человек в Усть-Куте. Если смотреть на апрельское заседание Думы района стороннему человеку, не знакомому с политическими тонкостями нашего бомонда, то у него легко бы сложилось впечатление, что наши депутаты @бнулись на всю голову. Они все заседание Думы соревновались в том, кто приятнее и глубже лизнет анус мэра. Ничем другим, такие спорные  решения депутатов, обосновать нельзя. Вполне возможно, они тоже все заболели неизвестной опасной болезнью, из-за которой в соседних регионах власти убили весь скот, но эта секретная эпидемия, как-то по особенному на них подействовала. Неизвестно, стали ли они заразными, но то, что они сильно полюбили мэра, это было очевидно из решений депутатов. Во первых, депутаты подняли мэру района и председателю Думы зарплату на 9% и теперь она у них составляет более 500 тысяч в месяц.  Во вторых, они согласовали коллективное обращение к губернатору, чтобы он наградил мэра Анисимова почетной грамотой. В третьих, депутаты нашли в бюджете района лишние 5,6 миллионов рублей, на новый служебный автомобиль мэру, так как якобы имеющийся у него сейчас внедорожник, уже устарел и небезопасен для передвижения первоготица района. При этом повышение зарплаты чиновникам, выглядит особенно издевательски для бюджетников из дошкольных учреждений и училищ, которых еще в прошлом году перевели на МРОТ. Без доплат и стимулирующих выплат, объясняя это тяжелой финансовой обстановкой в стране. Так же смущает отсутствие обоснования для награждения губернаторской грамотой мэра, и общие фразы "за заслуги" не объясняют главного. За какие такие заслуги нужно наградить Сергея Анисимова? Может за борьбу с безнадзорными собаками, которые разорвали ребенка около детского садика? Или за бдительность в кадровой политике, в виде зама-педофила? Что касается покупки нового служебного автомобиля под зад мэра, то судя по выделенным деньгам, ему уже подобрали иномарку и это точно не УАЗ-Педриот. Впрочем, что еще можно было ожидать от депутатов, которые на 100% знают, что обязаны мандатами не избирателям, а грязным технологиям мэрской команды, финансируемой ИНК. Ариэль Эмет Специально для «УК24» фото : из открытых источников Канал в Телеграмм Наш Инстаграм Страничка в Одноклассник    
924
0
03.04.2026 в 05:56
post-36237 thumbnail

#Топ новостькоррупцияПолитикаУсть-КутЭкономика

Усть-Кут. Беда близко. Не спасёт даже война в Иране: ИНК терпит управленческую катастрофу и может потопить весь регион

Противоречивые новости доносятся из «Иркутск-Сити», где располагается штаб-квартира знаменитой и крайне важной для нашего регионального бюджета Иркутской нефтяной компании. В прошлом году в сети распространилась информация о сокращении аж 4500 сотрудников, что вынудило руководство ИНК даже выступить с официальным опровержением.
«...с завершением строительства одного из крупнейших инвестиционных проектов России численность сотрудников компании корректируется», — такой фразой тогда ограничилось руководство нефтяной компании.
Красиво заговорили, да? Ещё с того момента наблюдал за ситуацией. И по моей информации дела в ИНК за это время лучше не стали, а попытка заговорить всё сухими пресс-релизами, купируя информацию в границах своего элитарного «Иркутск-Сити», была обречена на провал. Ведь «утекаемая» информация доносится и до нас, и мы будем говорить об этом открыто: от положения ИНК зависит будущее всего региона, ведь компания является главным налогоплательщиком в его бюджет. В чём же причина? Геополитика, влияющая на экономику: санкции, ограничения продаж нефти для нашей страны, что, очевидно, бьёт и по нефтяной компании. Здесь вины ИНК нет, и компания адаптируется к реалиям как может. Раздутый управленческий персонал. По моей информации, Марина Седых — бывший гендиректор ИНК — рассталась с компанией окончательно и достаточно некрасиво со стороны самой ИНК (ходят даже слухи о том, что Седых поменяла налоговую прописку, но подтверждения этой информации у меня нет). И именно Седых заявляла о том, что ИНК потопит себя сама из-за неэффективного менеджмента и бессмысленно раздутого персонала с большими зарплатами. Судя по всему, это действительно так, потому что и сотрудники компании мне подтверждают, что в ИНК идут сокращения. Но самое главное, что почти полностью остановлены инвестиции в проекты, а некоторым подрядчикам до сих пор не заплатили денег. К тому же сотрудникам сокращают все надбавки и премии, которые ранее составляли весомую часть зарплаты. Новый, и как выразились в пресс-релизе, «один из крупнейших инвестпроектов России» — это Иркутский полимерный завод, который запустился с опозданием и сейчас работает далеко не на полную мощность. Тема положения компании в её родном Усть-Куте и реальное состояние полимерного завода, на котором я бывал, будет раскрыта мною в следующем посте, так как информации собрано много. Итог Три кита проблем — международные санкции, раздутый и непродуктивный менеджмент и провал инвестпроекта в Усть-Куте — серьёзно бьют по финансовому положению ИНК. И, судя по поступающей тревожной информации, потихоньку топят крупнейшего налогоплательщика региона. А учитывая невероятный по масштабу кризис в Иркутской области, которая совсем недавно кредитнулась на 20 миллиардов, потеря поступлений от ИНК может обернуться для региона настоящим банкротством. Таким, которое потопит и область, и губернатора, и всю социалку. А о том, как ИНК бросает Усть-Кут и замораживает все инвестпроекты в городе, — читайте уже скоро на моём канале.   @stepanovnm
2641
0
02.04.2026 в 03:35
post-35611 thumbnail

#Топ новостьВойна с УкраинойОбществоПолитикаУсть-Кут

Список погибших в Украине жителей Усть-Кута на 01 апреля 2026 год

Продолжаем ежемесячную публикацию списков погибших в Украине жителей нашего района, а так же сведений о пропавших без вести. Будем обновлять эти данные раз в месяц. Жирным шрифтом и курсором будут выделять фамилии вновь добавлены Военнослужащие заключившие контракт с Министерством обороны России:
  1. Бакулин Сергей Александрович
  2. Олейников Павел Сергеевич
  3. Степанов Владимир Владимирович
  4. Файдуков Илья Александрович 2001 г.р.
  5. Тимкин Иван Валерьевич 1985 г.р.
  6. Дядькин Андрей Владимирович 1975 г.р.
  7. Железняк Олег Степанович 1973 г.р.
  8. Цыба Алексей Александрович 2001 г.р.
  9. Харитонов Анатолий Сергеевич 1979 г.р.
  10. Шестаков Александр Викторович 1991 г.р.
  11. Габелая Заза Зазавич 2001 г.р.
  12. Рыбаков Владислав Игоревич 2001  г.р.
  13. Мартюшов Владимир Николаевич 2000 г.р.
  14. Саклаков Петр Сергеевич 1990 г.р.
  15. Белянин Вячеслав Юрьевич 1975 г.р.
  16. Ветошкин Александр Геннадьевич 1982 г.р.
  17. Давыдов Сергей Викторович 1969 г.р.
  18. Новокрещеной Алексей Викторович 1995 г.р.
  19. Гончаров Виктор 1994 г.р.
  20. Кононенко Александр Николаевич
  21. Злобин Анатолий Алексеевич 1989 г.р.
  22. Салтыков Максим Игоревич 2002 г.р.
  23. Шевченко Андрей Александрович 1998 г.р..
  24. Купчин Алексей Юрьевич 1986 г.р.
  25. Власов Игорь Владимирович 1991 г.р.
  26. Суров Никита Александрович 1999 г.р.
  27. Тумаков Алексей Александрович 1979 г.р.
  28. Ермилов Александр Владимирович 1967 г.р.
  29. Силкин Артем Андреевич 1994 г.р.
  30. Ошурков Антон Васильевич 1994 г.р.
  31. Петухаев Геннадий Юрьевич 1975 г.р.
  32. Соболевский Степан Андреевич 1993 г.р.
  33. Паплюга Вячеслав Михайлович 1975 г.р.
  34. Мошкин Евгений Юрьевич 1977 г.р.
  35. Шага Анатолий Анатольевич 1981 г.р.
  36. Салахов Арсен Абдуламидович 1969 г.р.
  37. Сипко Александр Валерьевич 1985 г.р.
  38. Раков Вадим Михайлович 1993 г.р.
  39. Фридман Александр Артурович 2001 г.р.
  40. Перфильев Алексей Юрьевич 1980 г.р.
  41. Салюк Никита Геннадьевич 1991 г.р.
  42. Учеваткин Георгий Иннокентьевич 1987 г.р.
  43. Гилястин Рустам Викторович 1977 г.р.
  44. Егоров Василий Александрович 1993 г.р.
  45. Суханов Виталий Сергеевич 1988 г.р.
  46. Таюрский Иван Алексеевич 1978 г.р.
  47. Воротила Артем Николаевич 1982 г.р.
  48. Куклин Владимир Александрович 1987 г.р.
  49. Колесников Дмитрий Петрович 2000 г.р.
  50. Хрулев Александр Анатольевич 1973 г.р.
  51. Москвичев Александр Сергеевич 1993 г.р.
  52. Савичев Дмитрий Николаевич 1991 г.р.
  53. Шкребтиенко Даниил Михайлович 2002 г.р.
  54. Горячев Александр Александрович 1987 г.р.
  55. Караулов Кирилл Александрович 1994 г.р.
  56. Кузин Илья Михайлович 1992 г.р.
  57. Летягин Николай Владимирович 1974 г. р
  58. Ненаших Алексей Викторович 1983 г.р.
  59. Плаксин Владимир  Олегович1994 г.р.
  60. Загибов Ильдус Насихович 1984 г.р.
  61. Николаев Роман Николаевич 1999 г.р.
  62. Раздобреев Геннадий
  63. Куплено Виктор Александрович 1981 г.р.
  64. Саушин Виктор Юрьевич  1990 г.р.
  65. Таюрский Евгений Иннокентьевич 1988 г.р.
  66. Спиридонов Антон Сергеевич 1989 г.р.
  67. Порохоов Денис Евгеньевич 2000 г.р.
  68. Кочетков Алексей Леонидович 1980 г.р.
  69. Пуляевский Василий Валерьевич 1983 г.р.
  70. Марчел Скынтей Емануилович 1972 г.р.
  71. Зубов Юрий Юрьевич  1979 г.р.
  72. Колесниченко Андрей Вячеславович 1968 г.р.
  73.  Ходырев 1Игорь Валерьевич 1970 г.р.
  74. Власов Игорь 1991 г.р.
  75. Серов Андрей Владимирович 1988 г.р.
  76. Силкин Семен Андреевич 1994 г.р.
  77. Шатаев Станислав Русланович 1993 г.р.
  78. Ушаков Максим Олегович 2003 г.р.
  79. Хвостов Евгений Владимирович 1979 г.р.
  80. Гордиевский Максим Сергеевич 1987 г.р.
  81. Лапин Валерий Владимирович 1973 г.р.
  82. Морозов Юрий Васильевич 1997 г.р.
  83. Мордовкин Алексей Андреевич 1989 г. р.
  84. Темников Иван Александрович 2003 г. р.
  85. Головин Сергей Витальевич 1972 г.р.
  86. Кузнецов Евгений Михайлович 1973 г.р.
  87. Концедалов Сергей Юрьевич 1979 г.р.
  88. Блинов Юрий Львович 1972 г.р.
  89. Хорунжий Руслан Николаевич 1981 г.р.
  90. Могилин Юрий Иванович 1968 г.р.
  91. Заруднев Михаил Валерьевич
  92. Найфер Александр 1996 г.р.
  93. Однокурцев Павел Сергеевич 2001 г.р.
  94. Ненашев Алексадр Александрович 1981 г.р.
  95. Лотков Антон Юрьевич 1982 г.р.
  96. Барахтенко Владимир Сергеевич 1989 г.р.
  97. Сафронов Артем Дмитриевич 1998 г.р.
  98. Силкин Андрей Андреевич 2002 г.р.
  99. Матафонов Антон Павлович 1987 г.р.
  100. Зырянов Артем Александрович 2001 г.р.
  101. Сафонов Егор Андреевич 1999 г.р.
  102. Паплюга Павел Вячеславович 1999 г.р.
  103. Афанасьев Антон Юрьевич 1989 г.р.
  104. Аркуша Алексей Анатольевич 1983 г.р.
  105. Аржаев Николай Олегович 1996 г.р.
  106. Вишневский Сергей Владимирович 1976 г.р.
  107. Таюрский Богдан Сергеевич 1999 г.р.
  108. Хамуев Павел Егорович 1962 г. р.
  109. Кошкарёв Олег Ильич 1981 г. р.
  110. Гусейнов Федор Фиакович 1972 г.р.
  111. Сергеев Николай Александрович 1978 г.р.
  112. Маякин Максим Николаевич 1996 г.р.
  113. Винокуров Артем Николаевич 2003 г. р.
  114. Поломошнов Геннадий Александрович 1984 г.р.
  115. Григорьевских Вячеслав Михайлович 2002 г.р.
  116. Алексеев Константин Владимирович 1997 г.р.
  117. Суранов Антон Николаевич 1980 г.р.
  118. Прошутинский Алексей Владимирович 1997 г.р.
  119. Марков Сергей Андреевич 2005 г.р.
  120. Рожков Эдуард Григорьевич
  121.  Корнейчук Валерий Александрович 1978 г.р.
  122. Ерендеев Виталий Леонидович 1980 г.р.
  123. Зикеев Андрей Геннадьевич 1991 г.р.
  124. Ромазанов Александр Владимирович 1972 г.р.
  125. Верес Денис Васильевич 1990 г.р.
Мобилизованные из запаса военнослужащие:
  1. Кулаков Алексей Витальевич
  2. Могилевич Руслан Георгиевич
  3. Пакулько Виктор Васильевич
  4. Сажин Вячеслав Валерьевич 1990 г.р,
  5. Козельский Денис Геннадьевич 1981 г.р.
  6. Левицкий Григорий Вячеславович 1986 г.р.
  7. Фомин Алексей Романович 1994 г.р.
  8. Морозов Никита Александрович 1996 г.р.
  9. Баскумбаев Алексей Молдабекович 1978 г.р.
  10. Зырянов Алексей Раисович 1977 г.р.
  11. Шендрик Роман Валентинович 1979 г.р.
  12. Бриченко Андрей Александрович 1982 г.р.
  13. Хохлов Игорь Сергеевич 1999 г.р.
  14. Крамник Сергей Владимирович 1983 г.р.
  15. Иванов Алексей Николавевич 1986 г.р.
  16. Толстиков Вячеслав Леонидович 1994 г.р.
  17. Антипин Иван Андреевич 1983 г.р.
  18.  Шутов  Сергей Евгеньевич 2000 г.р.
  19. Барахтенко Олег Иванович 1978 г.р.
  20. Мелентьев Павел Викторович 1984 г.р.
  21. Белозерцев Никита Павлович 1989 г.р.
  22. Антипин Алексей Александрович 1989 г.р.
  23. Лобынцев Сергей Владимирович 1980 г.р.
  24. Ефимов Владимир Александрович 1983 г.р.
  25. Шамкин Виталий Михайлович 1980 г.р.
  26. Зверев Роман Александрович 1977 г.р.
  27. Лютиков Евгений Сергеевич 1989 г.р.
  28. Бабин Евгений Борисович 1992 г.р.
  29. Антипин Алексей Геннадьевич 1982 г.р.
  30. Скуратов Константин Федорович 1974 г.р.
  31. Дроздов Валерий Юрьевич 1995 г.р.
  32. Быков Михаил Александрович 1980 г.р.
  33. Чугунов Антон Геннадьевич 1985 г.р.
  34. Мананков Олег Сергеевич 1978 г.р.
  35. Дубовик Сергей Владимирович 1975 г.р.
  36. Коркин Владимир Валерьевич 1983 г.р.
  37. Григорьев Валерий Валерьевич 1984 г.р.
  38. Крамаренко Сергей Юрьевич 1981 г.р.
  39. Бударин Александр Игоревич 1990 г.р.
  40. Красноштанов Роман Евгеньевич 1990 г.р.
  41. Лунегов Сергей Павлович
  42. Червиевский Денис Григорьевич 1987 г.р
  43. Смертеев Семен  Петрович 1990 г.р.
  44. Солодов Александр Анатольевич 1983 г.р.
  45. Гриднев Денис Сергеевич 1978 г.р.
  46. Таюрский Александр Викторович 1975 г.р.
  47. Семидельский Владимир Николаевич 1978 г.р.
  48. Слепцов Александр Сергеевич 1986 г.р.
  49. Вилков Андрей Иванович 1988 г.р.
  50. Дудник Сергей Александрович
  51. Кошкарев Максим Павлович 1978 г.р.
  52. Назаров Денис Александрович 1993г.р.
  53. Чупров Александр Сергеевич 1989 г.р.
  54. Липских Александр Георгиевич 1978 г.р.
  55. Тирский Денис Михайлович 1971 г.р.
  56. Осетров Дмитрий Максимович 1997 г.р.
  57. Понкратьев Александр Иванович 1978 г.р.
  58. Афанасьев Иван Сергеевич 1995 г.р.
  59. Сергеев Николай Александровия 1978 г.р.
  60. Антипин Илья Валентинович 1989 г.р.
Наемники, заключившие контракт с ЧВК Вагнер:
  1. Барахоев Леонид Иннокентьевич
  2. Бушмакин Максим Сергеевич
Заключенные, завербованные ЧВК Вагнер из колоний ФСИН:
  1. Архипов Сергей Александрович
  2. Вейс Владимир Владимирович
  3. Ермилов Александр Сергеевич
  4. Курбанов Сенан Камран оглы
  5. Потапов Вадим Сергеевич
  6. Старцев Алексей Олегович
  7. Степанов Евгений Александрович 1986 г.р.
  8. Таюрский Алексей Геннадьевич
  9. Хартиков Дмитрий Владимирович 1981 г.р.
  10. Колесов Денис Андреевич 1998 г.р.
  11. Геннадий Гербольд 1978 г.р.
  12. Трусков Алексей Анатольевич
  13. Метрус Руслан Сергеевич 1984 г.р.
Заключенные, завербованные из колоний ФСИН в «Шторм-Z»:
  1. Сафронов Михаил Сергеевич 1985 г.р.
  2. Бурундуков Владимир Андреевич 2001 г.р.
  3. Кардаев Рахман Магомедович 1982 г.р.
  4. Горячкин Владимир Андреевич 1987 г.р.
  5. Тихонов Александр Павлович 1987 г.р.
  6. Хайсаров Олег Владимирович 1999 г.р.
  7. Кайдалов Павел Александрович 1990 г.р.
Итого на сегодняшний день документально зафиксирована гибель 207 жителей Усть-Кутского района, во время боевых действий на территории Украины. К сожалению, это не полный список погибших и редакция располагает данными еще на 4 жителей нашего района, которые числятся пропавшими без вести. Плюс нет никаких данных  о многих заключенных из ФСИН, завербованных в Шторм-Z  и убывших в подразделения. Где они сейчас неизвестно, но есть большая вероятность, что они погибли и их тела находятся в распоряжении украинской стороны. Мы по своим каналам пытаемся выяснить судьбу всех пропавших без вести устькутян и делаем запросы в официальные органы Украины по каналам коммуникации с волонтерскими структурами и через Красный Крест в Польше. Вполне возможно, что некоторые из пропавших без вести живы и находятся в плену или госпиталях для военнопленных. Напомним, что из Усть-Кута было мобилизовано 238 военнослужащих запаса в сентябре 2022 года, из низ 43 человека ушли добровольцами. Еще 100 человек из Усть-Кута, заключили контракт с Минобороны, по состоянию на 01.01.2025 года Команда «УК24» PS. Если у вас есть информация о погибших устькутянах не указанных у нас в списке, можете написать нам на почту centr_for_ca@mail.ru  и проверив информацию мы пополним список PSS. Редакция «Усть-Кут24» не поддерживает войну с Украиной и считает ее не справедливой и откровенно колониальной. Должностные лица России развязавшие войну, должны предстать перед судом и понести наказание  
2720
0
01.04.2026 в 05:09
post-36171 thumbnail

#Топ новостьВойна с УкраинойПолитикаУсть-Кут

Солдата срочника из Усть-Кута обманом заставили подписать контракт с Министерством обороны

Солдата срочной службы из нашего города Виталия Беккер, командование обманом заставило подписать контракт и после этого почти сразу собирается оправить на войну История срочной службы в армии нашего земляка Виталия Беккер, похожа на тысячи других молодых людей, которых командование обманом и шантажом, вынуждает подписывать контракт с Министерством обороны и после этого, почти сразу их отправляют в зону боевых действий в Украине. Виталий Беккер, после окончания Речного училища в Усть-Куте, поступил в Новосибирске в высшее учебное заведение, но почти сразу же, был призван в армию. Практически сразу был направлен в учебную часть в Белгороде, где после окончания обучения воинской специальности, был перенаправлен в воинскую часть в городе Екатеринбурге. Там сразу по прибытию, день в день, подписал контракт с Министерством обороны и уже готовится к отправке в боевые части в Украину. При этом при заключении контракта, командование убеждало его, что он будет служить именно в воинской части в Екатеринбурге. Кроме выплат при заключении контракта с МО, получит жилье в общежитии при части и сможет уволится, как только контракт закончится. Как оказалось уже на следующий день, никакая служба в части в Екатеринбурге ему не светит, а контракт предусматривает участие в боевых действиях на территории Украины. Более того, Виталий при разговоре с мамой говорил под диктовку каких-то людей, которые находились рядом и выдавал пропагандистские фразы из телевизора. Мама так и не смогла поговорить с ним наедине и утверждает, что у него не было планов идти воевать. Он собирался продолжить учебу и даже взял академический отпуск. Естественно, что мама написала жалобы на командование во все инстанции и уже едет к нему в часть. К сожалению, расторгнуть контракт уже практически не реально, но можно через военную прокуратуру добиться, чтобы Виталий служил именно в Екатеринбурге, а не в Украине. Конечно печально, что таких молодых парней, которые еще не успели пожить и обзавестись семьями и детьми,  их командование обманом, отправляет почти на верную смерть в чужую страну. Общество уже смирилось, что в этой непонятной по целям войне, длящееся уже пятый год, государство утилизирует уголовников и зэков в мясных штурмах. Так же все уже не обращают внимание на неблагополучных людей, которые сами идут и заключают контракт из-за больших выплат и отсрочек по судебным искам и исполнительным производствам. Но молодые люди, которые были призваны в армию на срочную службу, это совсем другой контингент. Мамы их вырастили и воспитали за свой счет, вообще без помощи государства и теперь должны остаться без сыновей и внуков только для того, чтобы деградированные вербовщики и командование без чести и совести, поставили галочки перед начальством, что они выполнили плаи по набору контрактников. Кстати, вербовщики получают выплату в размере 100 тысяч рублей, за каждого подписавшего контракт и скорее всего делятся этими деньгами с командирами частей, где служат срочники. Будем надеяться, что маме Виталия Беккер повезет и она сумеет отбить у командования сына от ухода на войну. Она его точно не для этого растила... Преступный путинский режим, развязавший преступню войну с самим близким к нам народом, убивает будущее страны в кровавой мясорубке несправедливой и откровенно колониальной войны. Ариэль Эмет Специально для «УК24» фото : «УК24» Канал в Телеграмм Наш Инстаграм Страничка в Одноклассник    
1841
0
28.03.2026 в 07:31